当前位置:网站首页>Optimising a 3D convolutional neural network for head and neck computed tomography segmentation with
Optimising a 3D convolutional neural network for head and neck computed tomography segmentation with
2022-07-23 13:41:00 【Never_ Jiao】
Optimising a 3D convolutional neural network for head and neck computed
tomography segmentation with limited training data
Journal Publishing :Physics and Imaging in Radiation Oncology
Time of publication :2022 year
Abstract
Background and purpose: Convolutional neural networks (CNN) It is increasingly used for automatic segmentation of radiotherapy plans , Among them, dangerous organs (OAR) Accurate segmentation is crucial . Training CNN It usually requires a lot of data . However , large 、 High quality data sets are scarce . The purpose of this study is to develop a CNN, The CNN Be able to use small training data sets (34 individual CT) To plan CT Scan the head and neck accurately (HN) 3D Automatic segmentation .
Materials and Method: We made it to order CNN The elements of the architecture are different , To optimize segmentation performance . We tested and evaluated the following effects : At specific soft tissue and bone anatomical windows CT Scan input uses multiple contrast channels , Resize and transpose convolution , And the loss function based on overlapping measure and different combinations of cross entropy . Use the 95 One hundredth Hausdorff Distance and average protocol distance (mDTA) Compare the segmentation performance of the model with the observer bias of the golden standard segmentation of two doctors . The configuration with the best performance is further verified on the popular public data set , With the most advanced (SOTA) Compare automatic segmentation methods .
Results: When evaluated on a public dataset , Our best performance CNN Configuration and current SOTA The method is competitive , brainstem mDTA by (0.81 ± 0.31) mm, The mandible is (0.20 ± 0.08) mm, The left parotid gland is (0.77 ± 0.14) mm The right parotid gland is (0.81 ± 0.28) mm.
** Conclusions:** Through careful adjustment and customization , We used a small data set to train a 3D CNN, To generate HN OAR Segmentation , Its accuracy is equivalent to the clinical deviation . Our proposed model is similar to the current SOTA The method is competitive .
Introduction
critical organ (OAR) Of 3D Segmentation is a key step in the radiotherapy path . However , Clinicians' segmentation or depiction is slow 、 Expensive and prone to differences between and within observers even among experienced radiation oncologists [1]. Full convolution neural network (CNN) Now it is the most advanced technology of automatic medical image segmentation [2]. lately , Quite a number of methods have been proposed and implemented to perform segmentation faster and with higher consistency [3-7]. The tip radiotherapy workflow uses an automatic segmentation model to suggest contours , Experienced radiographers will confirm and edit as needed [8].
CNN The supervised training of models traditionally requires a large number of high-quality annotation data ( Usually > 1000 Example )[9]. In this application , The radiographer needs to perform a complete volume segmentation of each image , It is best to have the same professional level and follow the same guidelines . therefore , The size of high-quality training data sets used for automatic segmentation is usually limited . Large institutions and business systems often use include 100 A data set of images [10,11]. However , Few researchers have access to such a large data set . about 2D Mission , When the available training data is limited , Large pre training backbone models are usually used ( Such as ResNet) Migration learning to improve performance . Similar backbone models are not easy to 3D Form visit .
This research aims to develop a customized 3D CNN Model , The model can use small public datasets (34 CT) Perform accurate head and neck (HN) OAR Automatic segmentation for training . CNN The design space of the model is very extensive , In addition to the amount of training data available ,CNN The choice of architecture and training protocol will also seriously affect the performance of the model . We selected three key design elements to optimize customization CNN Development of .
Materials and methods
CNN model architecture
Our basic segmentation CNN be based on 3D UNet Design [12]. This includes repeated zero padding 3x3x3 Coding path of convolution and pooling layer , Then there are decoding paths similar to convolution and upsampling ( chart 1). Add residual jump connection to smooth the training process . These residuals are connected by 1x1x1 Convolution layer implementation , To match convolution blocks [13] Number of channels on both sides . In each layer of the network decoding part, multi-level in-depth supervision is introduced , To accelerate convergence . Deep supervision connection contains bottlenecks 1x1x1 Convolution , The number of model parameters is reduced and supported in a single graphics processing unit (GPU) Training on .
Fig.1 The CNN framework . The basic model used is deeply supervised 3D Res-UNet. In this picture , We highlight three modifications that make up the presented experiment . We compared the input to the model (1) Use multiple contrast settings 、 In the decoder part (2) And three different loss functions (3). When using transpose convolution ( Orange ) when , We did not perform trilinear upsampling .
Multiple input channels with specific contrast settings
Usually , The image is used as CNN The input of will be preprocessed . Conventional preprocessing includes standardizing images to make μ = 0 and σ = 1 Or map the image to the range [0,1].
Use computed tomography (CT) One advantage of scanning is , Voxel strength is calibrated to Hounsfield Company (HU), This is a kind of in the air (-1024 HU) And water (0 HU) Tissue density scale with fixed reference value . Clinicians are visualizing CT The image uses windows or gray-scale mapping to enhance the contrast of different tissues and highlight specific structures , for example , Narrow windows are used for soft tissues with similar attenuation , The wide window is used to visualize bones . The brightness of the image varies with the level of the window (L) adjustment , Contrast varies with window width (W) adjustment .
L and W Defines a ramp function , Used to map all intensities in a given image , Pictured 2 Shown . Our proposed method uses three input channels , And use different contrast settings for normalization . The radiologist uses the selected W and L Contrast settings to view soft tissue specifically 、 Skeletal anatomy and brain tissue [14]. Three clearly contrasting CT Volume along “ passageway ” The shaft is connected and passed at the same time CNN Feed . This method is similar to that in 2D Separation in natural images RGB passageway .

Fig.2 a) Used for mapping CT Window slope function of image intensity . b) Contrast setting of full width window baseline method . c-e) Window width and horizontal contrast settings selected for our multi input channel method .
We compared our proposed method with a baseline comparison using a single input channel , among CT Images are normalized using full width windows . actually , This involves setting L = 488 and W = 3024, Normalize the entire intensity range of the image into a range [0, 1]
Resize convolutions
Transpose convolution is often used to simulate deconvolution operations , Increase the spatial dimension of the image by expanding the input [15]. However , Transpose convolution can be in CNN Chessboard artifacts are generated in the generated image [16]. Resize ( Upper sampling followed by standard convolution ) It has been proposed as an alternative method to repair such artifacts . We are dividing CNN The decoder part of uses traditional transpose and adjustment convolution to compare model configurations . In this work ,3D Resizing convolution is at zero fill 3x3x3 The convolution layer was previously implemented using trilinear up sampling .
When using multiple input channels (4、896、693→4、897、621 Parameters ) when ,CNN The increase in model size is negligible . Resize convolution using 3x3x3 kernel , And use 2x2x2 kernel (4、896、693→6、530、997 Parameters ) Compared with transpose convolution , It adds more parameters . The model configuration using three input channels and resizing convolution contains 6、531、925 Parameters ( How are these parameters calculated ?).
Loss function
We have experimented with three loss functions : A simple overlap measure ; Linear combination of overlapping measure and cross entropy ; And a similar combination with nonlinearity .
In split tasks , Overlapping loss measurement is popular because of its easy implementation and fast convergence . The first indicator of our assessment is based on Dice Similarity coefficient (DSC) Multi class weighting Soft Dice (wSD) Loss function . wSD The loss is given by 
among V yes CT Volume ,l yes OAR label . stay 3D In volume , There is usually a significant class imbalance between the background and the labeled voxels , It can reach several orders of magnitude , Especially for small OAR. Usually add OAR Specific weights wl To solve the problem of category imbalance . In this study , Every OAR The weight of is calculated with the reverse label frequency :
among ,α=1/3.
Cross entropy (XE) Is a popular loss function , It uses logarithmic probability to evaluate the similarity between the target and the prediction . The second measure implemented by wSD And weighting XE (wSD + XE) The linear combination of .
Huang et al. Proposed a “ Exponential logarithmic loss ” function (ExpLogLoss), Used to split objects with highly unbalanced object sizes . The loss function is initially divided 3D The brain MR Designed for images , By logarithm SD And weighting XE The sum of . We use [17] The recommended settings outlined in evaluate the use of ExpLogLoss The effect of functions . ExpLogLoss The function evaluates to 
among Dicel yes OAR l Of Dice Similarity coefficient ,-ln(pl(x)) Is the negative log likelihood loss ,wl Of α = 0.5.
Implementation details
All our models are in PyTorch 1.6.0 Implemented in . All online training is in 16 GB NVidia Tesla V100 GPU on . Personal model training takes about 5 Hours . Every 3D CT Image segmentation inference time <1 second .
Extensive data enhancement is used to improve the robustness of the model . When using small training data sets , This is essential to prevent over fitting . During the whole training process , original CT The image and golden standard segmentation mask are converted by random enhancement sequences . 3D Enhanced actions include : Horizontal mirror ( probability ,p = 0.5); Maximum offset in each direction ±4 Voxel (p = 1, In the plane ±4 Mm and axial ±10 mm ); ±10° Rotation between to simulate cervical spine flexion 、 Stretch and rotate (p = 0.75); and 90-110% Volume scaling between (p = 0.5). All enhancements are made using numpy and scipy Library implementation of .
Use Adam When the optimizer , The initial learning rate is 10-2, The loss of each verification reaches 100 individual epoch when , The learning rate will decrease 10 times . Allow model training up to 1000 individual epoch, If the verification loss is 250 individual epoch There is no improvement in , Implement early stop . because 3D CNN And the input CT The size of the volume , The batch size is limited to one . However , Gradient accumulation ( What is gradient accumulation ?) It is used to delay the update of model parameters , This simulates 4 Batch size .
Data and experimental setups
For model development , We used the include 34 Zhang CT Publicly available open data sets of images (https://github.com/deepmind/tcia-ct-scan-dataset) [11]. 34 Zhang HN CT Each of them has 1x1x2.5 Mm voxel resolution , There are two doctors OAR outline . A set of descriptions is considered the gold standard and used for training . CNN The model is trained for the mandible 、 brainstem 、 Parotid gland and cervical segment of spinal cord 3D Division . We conducted experiments to evaluate each of the three loss functions , Multi channel contrast input contrast single channel contrast input and resize and transpose convolution . Before the split , Use internal software [18] take CT Automatically crop to have 200x200x56 The anatomically consistent subvolume of voxel size .
Configure each model 5 Crossover verification [19]. At every compromise , Use 24 A training image and 3 A validation image is trained from scratch CNN Model . In such cross validation , Training data is used to adjust model parameters , The validation data informs the adjustment of the learning rate and when to terminate the training process . Retain the 7 Groups of test images are used to evaluate the final segmentation performance of cross validation .
Segmentation performance metrics
Use the 95 One hundredth Hausdorff distance (HD95) And the average agreement distance (mDTA) Compare the segmentation performance of the model with the measurement deviation between the two doctors . For each OAR Perform second clinician and CNN HD95 Of the sample Wilcoxon Sign rank test , Zero assumes that the difference in the median is zero .
Overlapping indicators ( for example DSC and Jaccard Indexes ) It is often reported for semantic segmentation . However , These indicators are heavily biased towards structural volume , Insensitive to details , Because volume overlap can hide clinically relevant differences between structural boundaries [3,20]. In radiotherapy , A small deviation of the segmentation boundary may have a potentially serious impact , For example, by means of OAR Unplanned irradiation increases the risk of side effects .
therefore , Distance metric , Such as mDTA and HD95 [21], First choice [22] And report in this article . In order to calculate these indicators , Create a distance transformation diagram for the reference division , And sample the voxels on the evaluation segmentation boundary . We evaluated these distances symmetrically , That is, use the distance map of the gold standard and sample on the boundary voxels of the predicted segmentation , vice versa . Then pass these distances through their average (mDTA) And their number 95 Percentile maximum distance (HD95) To summarize . mDTA Used to evaluate the overall results ,HD95 Is the worst matching area .
External validation
Our best model configuration is in the public MICCAI Automatic head and neck segmentation challenge 2015 Data sets ( edition 1.4.1)[23] Has been further verified . The dataset (MICCAI’15 Set ) contain 48 Famous patients , Initially divided into : train 25 individual , Optional additional training 8 individual , Off site testing 10 individual , Field test 5 individual . We use 25 A primitive set for training 、5 Field test images and... For verification 10 Off site test images for testing retrained our best configuration model . original “ Optional training ” Centralized 8 Samples do not describe all OAR, Therefore, it is not included . Unfortunately , This data set does not contain spinal cord contours .
The model we proposed is in MICCAI’15 The result on set is similar to Huang wait forsomeone [4], Zhang et al [5], Higher people [6], Guo et al [7] Kawahara et al [27] State of the art published on the same dataset (SOTA) The results are compared . Each comparison method has published the equivalent of mDTA Of HD95、 Average surface distance (ASD), Or neither . However , All five studies have been published DSC result , So we have MICCAI’15 On the set, we calculate our model's DSC Results for comparison .
Results
Model development
Configured for each model HD95 and mDTA The descriptive results of the indicators are shown in table 1 Shown .
Table1. Configured for each model HD95 and meanDTA The median value of the indicator . A lower value indicates CNN The predicted segmentation is more consistent with the gold standard . In the table ,T and R Respectively represent the models using transpose or resizing convolution in the decoder part . These results are folded by each of all patients in the five test sets OAR Indicators Median and standard deviation Summarize . Every OAR The best performance configuration for is highlighted in bold , And use more significant numbers than shown to determine . about HD95, Most spinal cord results reflect CT Image slice thickness (2.50 mm). This shows that most models have a single slice error in the length of the spinal cord . Use ExpLogLoss The model configuration of function training always produces better segmentation .
In order to check the use more carefully ExpLogLoss Model of function training , We use pictures 3 The box diagram in compares all such model configurations mDTA value . The best performing model configuration uses multiple input channels 、 Transpose convolution and use ExpLogLoss Function to train . This configuration produces parotid glands 、 The segmentation of spinal cord and mandible has a level of accuracy similar to the deviation between clinicians . The only significant difference found in the brain stem (p = 0.00008,Wilcoxon Sign rank test ). However , The segmentation performance of brain stem is still very good , Median HD95 by (3.37 ± 1.50) mm, Median mDTA by (0.95 ± 0.37) mm.
Fig.3 The box diagram compares the loss function with the best performance ExpLogLoss The four models of training are configured mDTA, And the deviation between doctors for reference ( Blue box ). For this figure , Lower values indicate better segmentation . In all soft tissues OAR in , Use 3 Channel input (3 R&T) The configuration of is better than that of single channel (1 R&T). With traditional transpose convolution (T) The segmentation effect produced by our model is slightly better , The best performing model is highlighted in green .
The model with multiple input contrast channels is configured in soft tissue organs ( brainstem 、 Parotid gland and spinal cord ) Its segmentation performance is always better than that of single input channel . No matter what type of input , The segmentation performance of mandible is the same .
When using wSD and wSD + XE When combining the loss function for training , Transpose and resize convolution behave very similarly . However , When using ExpLogLoss When training function , The performance of transpose convolution is slightly better .
External validation
We showed The best model configuration ( Three channel input 、 Transpose convolution sum ExpLogLoss function ) And then in MICCAI’15 Train and evaluate again on the set . In the table 2 in , We summarize our proposed method HD95、mDTA and DSC Measurement results .
Table2. MICCAI’15 On dataset HD95、ASD/mDTA and DSC Comparison results . Bold characters indicate the best performance model . Dashes indicate unreported OAR Result . * Kawahara et al. Reported a single parotid gland DSC.
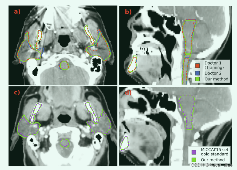
In the figure 4 in , We illustrate the example segmentation generated by our proposed method . chart 4a and 4b Shows patients from our original data set 2D Axial and sagittal slices . chart 4c and 4d It is used for external verification MICCAI’15 Examples of centralized patients .

Fig.4 our CNN Example segmentation of model generation ( green ). In the first line a) and b) in , We show patients from the dataset we used for model development 2D Axial and sagittal views . The dataset contains segmentation generated by two doctors , Displayed in red and blue . At the bottom c) and d) in , We've shown people from MICCAI’15 Axial and sagittal of patients in group 2D section . The golden standard section of the collection is displayed in purple .
Discussion
Now used for automatic segmentation in radiotherapy planning CNN Large datasets are usually required to train effectively . We developed a CNN Model , When training on a small data set , The model can accurately HN CT Division . This is customized through careful adjustment 3D CNN To achieve . Changing specific elements of our model can provide insight into the impact CNN Automatic segmentation method performance factors , Especially based on UNet The architecture of .
Using a variety of contrast settings for model input is to improve soft tissue OAR Key strategies for segmentation performance . We compared three pre selected contrast channels with baseline input using a single full width window . We do not compare each comparison window individually or in combination , Because it will greatly increase the number of experiments . In some cases ( For example, the mandible ), It may be enough to use only one of the channels we compare . However , Identifying these specific situations adds considerable complexity to the automatic segmentation task , And using all three channels hardly increases the computational load in the training and reasoning stages . Besides , We did not optimize the contrast setting used in this study , It depends on literature [14] The value in . 2018 year ,Lee Et al. Developed a window setting optimization module , Normalize the contrast as a learnable parameter of the model [24]. It will be interesting to find out whether similar modules can be successfully deployed in our method .
The loss function is a key component of the training depth learning model . We found the original by Wong wait forsomeone [17] Developed ExpLogLoss function . And simpler Soft Dice Compared with the cross entropy combination function , A more accurate segmentation model is produced . Lu et al. Should be applied to T1 weighting MR In the picture 3D Segmentation of stroke lesions , Consistent results of similar loss functions are reported [25]. In the future work , Evaluate recently introduced “Unified Focal” The loss function will be meaningful , This function performs well in highly unbalanced class segmentation [26].
To my surprise ,2.3 The chessboard artifact of transpose convolution described in section does not significantly reduce the segmentation performance . In published methods , To avoid this problem , Resizing convolutions has become quite common . However , Our method produces better segmentation when using transpose convolution . Besides , The training speed of transposed convolution model is improved 15%, Because it contains fewer parameters 160 ten thousand .
Once the development phase is complete , Our best model configuration will be evaluated on a public data set , This data set has been used as several SOTA Benchmark of method . Huang wait forsomeone [4], Zhang et al [5], Higher people [6] And Guo et al [7] Published results . Listed in table 2 For comparison . from MIC CAI’15 Among these comparison results of the data set , We can see that our proposed model is similar to SOTA The model is competitive . The model of higher people is HD95 The performance in the index is very good , Best for brain stem 、 Left and right parotid glands . Our method is in the mandible HD95 The best performance in the index . stay ASD/mDTA In the index , Our model is in all brain stem (0.81 ± 0.31mm)、 Mandible (0.20 ± 0.08mm)、 left (0.77 ± 0.14mm) And right parotid gland (0.81 ± 0.28mm) Best in . Zhang et al's method and higher people DSC Score results share honor , however , The performance of all five methods is very close . External validation also confirms , Our model is more widely applicable than the original model development data set . Amjad and others recently proposed a custom HN Automatic segmentation CNN, It has our [28] Allied Res-UNet3D framework . However , This model uses MIC CAI’15 Data set and 24 Three extra CT Scanning training , So we can't include their results in the table 2 in .
Our method was specifically developed to take advantage of limited data , Allows you to train custom models on small datasets to segment different OAR Or according to the updated agreement . Then the model of specific protocol can be deployed in retrospective modeling research or clinical trials , To improve consistency . A natural extension of this study is to further evaluate how the performance of the model changes with the size of the training set . Siciarz Et al. Recently explored this problem , It shows that as the number of training examples decreases , Segmentation performance will decline [29]. However ,Siciarz The minimum number of training samples considered by et al. Is still almost twice the size of the data set used in this study .
In this study , We show that , Through careful adjustment and customization , Small datasets can be used to train 3D CNN, To segment the mandible 、 Parotid gland and spinal cord , Its accuracy is similar to the range of deviation between clinicians . We evaluated our proposed model on a popular public data set , And produced high-quality segmentation results comparable to the current most advanced methods in many indicators .
边栏推荐
- Smart city infrastructure management based on bim+3dgis
- 第九天笔记
- [jzof] path in matrix 12
- Beifu PLC and C transmit string type through ads communication
- 【MUDUO】Poller抽象类
- Charles' bag grabbing tool test practice
- ES6 - weekly examination questions
- 中国在又一个新兴科技领域领先美国,站在科技创新制高点
- 深入理解微信小程序的底层框架(一)
- Google Play应用商店可能会删除应用权限概述 转而使用新的数据安全信息组合
猜你喜欢

Matplotlib- implement common probability distributions

com.mysql.cj.jdbc.exceptions. MysqlDataTruncation: Data truncation: Truncated incorrect DOUBLE value:

Smart city infrastructure management based on bim+3dgis

PHP framework MVC class code audit

Learn to use canvas to build line chart, bar chart and pie chart

Compilation and preprocessing
![[jzof] path in matrix 12](/img/33/426386fc3dc3e32b6968d30034d66a.png)
[jzof] path in matrix 12

Evaluation of classification model

Remote editing and debugging with vscode

了解canvas
随机推荐
PHP获取当前时间戳三位毫秒 - 毫秒时间戳
知识图谱:基本概念
浅谈Anroid设备的CPU类型以及so文件的放置目录
[jzof] path in matrix 12
0722~ thread pool extension
DeFi 永不消亡?
在虚拟环境下使用pip时默认使用系统环境的pip该怎么办
kubernetes 的这几种存储卷,别再傻傻分不清了
Backtracking method to solve the eight queens problem
2. Les règles quantitatives
微信小程序--动态设置导航栏颜色
Research on hardware architecture of Ti single chip millimeter wave radar xwr1642
Interface test - simple interface automation test demo
Probability meditation: 2. The quantitative rules
Knowledge map: basic concepts
Netease white hat hacker training camp notes (2)
关于this指针
Point target simulation of SAR imaging (II) -- matlab simulation
Metaapp development interview questions
Target segmentation for 10000 frames of video, with less than 1.4GB of video memory | eccv2022